Litiasis vaginal: a propósito de dos casos
Vaginal lithiasis: regarding two cases
Caso Clínico
Zunana, C¹; Alvarez, L²; Peña, TM³; Califano, PA⁴.
Resumen
La litiasis vaginal en niñas y adolescentes es extremadamente rara. Los cálculos vaginales pueden ser primarios y formarse por estasis urinaria en la vagina o secundarios a la cristalización de los componentes urinarios alrededor de un cuerpo extraño en la misma. Se presentan dos casos clínicos. El primero corresponde a una adolescente cuyo diagnóstico se realiza a través del hallazgo de un cuerpo extraño en vagina. El segundo, en una niña con antecedente de malformación anorrectal que consulta por sangrado por genitales externos. Consideraciones finales: a pesar de su bajísima frecuencia, la litiasis vaginal debe ser considerada como diagnóstico frente a un sangrado vaginal o presencia de cuerpo extraño. Es crucial conocer su forma de presentación y asociaciones. El abordaje requiere de un trabajo interdisciplinario con ginecólogos/cirujanos con experiencia en anomalías del tracto genitourinario, ya que es necesario corregir la etiología subyacente para prevenir las recurrencias.
Palabras claves: litiasis vaginal primaria, cuerpo extraño, seno urogenital, malformación del tracto genital, sangrado genital.
Abstract
Vaginal lithiasis in girls and adolescents is extremely rare. Vaginal stones can be primary, forming due to urinary stasis in the vagina, or secondary, resulting from the crystallization of urinary components around a foreign body in the vagina. Two clinical cases are presented. The first refers to an adolescent whose diagnosis is made through the finding of a foreign object in the vagina. The second case concerns a girl with a history of anorectal malformation who presented with bleeding from the external genitalia. Final considerations: Despite its extremely low frequency, vaginal lithiasisshould be considered as a potential diagnosis in cases of vaginal bleeding or the presence of a foreign body. It is crucial to understand its presentation and associations. Management requires an interdisciplinary approach involving gynecologists or surgeons experienced in genitourinary tract anomalies, as addressing the underlying etiology is necessary to prevent recurrences.
Key words: primary vaginal lithiasis, foreign body, urogenital sinus, genital tract malformation, genital bleeding.
Introducción
La litiasis vaginal es una condición rara que, a menudo, es subdiagnosticada debido a su baja incidencia. Se puede dividir en 2 tipos: primaria y secundaria, basados en la presencia o no de un cuerpo extraño en la vagina. Las primarias son principalmente causadas por estasis urinaria crónica en la vagina con deposición de sales urinarias e infección de la misma. Son varias las condiciones que pueden contribuir a su desarrollo, entre ellas, las fístulas genitourinarias. Las secundarias son menos frecuentes y se producen por la presencia de cuerpos extraños en vagina que actúan como matriz para la formación del lito como, por ejemplo, la erosión de mallas quirúrgicas antiprolapso o antiincontinencia, u otros cuerpos extraños como dispositivos intrauterinos anticonceptivos u objetos quirúrgicos olvidados. Estos suelen generar una reacción inflamatoria, conjuntamente con el depósito gradual de sales inorgánicas de la orina.1-3
A continuación, se presentan dos casos clínicos y su abordaje.
Casos clínicos
Caso 1
Adolescente de 11 años consulta en ginecología para valoración genital en contexto de enuresis primaria. Como antecedentes, había consultado a los cinco años por lesiones perineales e incontinencia de orina (IO) primaria. Se le diagnosticó dermatitis pápulo-erosiva secundaria a la misma, riñón único e IO con detrusor estable y disminución de la sensibilidad uretral. La dermatitis se resolvió con tratamiento tópico y la IO mejoró con oxibutinina. Presentó seguimiento errático hasta la consulta en ginecología, seis años después.
Al examen físico se evidencia estadio de Tanner 3 mamario y de vello pubiano. Se realiza maniobra de tracción lateral de labios, evidenciándose una formación blanca, duro-pétrea que ocupa todo el introito, no pudiéndose identificar uretra ni himen. No se puede remover con pinza en consultorio (Imagen 1). El ano está conservado.
Se realiza radiografía que evidencia imagen radio-opaca en topografía vaginal (Imagen 2).
Imagen 1. Fotografía del examen físico (1° caso clínico). Presencia de cuerpo extraño blanco en introito.

Imagen 2. Radiografía de pelvis frente (1° caso clínico). La flecha indica imagen radiopaca en topografía vaginal.

Con sospecha de cuerpo extraño se realiza examen bajo anestesia. Se observa cuerpo extraño compatible con cálculo vaginal que se extrae, lo que permite realizar el diagnóstico de persistencia del seno urogenital: por dentro de este, se evidencian dos orificios.La uretra se canaliza con sonda constatándose salida de orina. La vagina se presenta tabicada (Imagen 3).
Imagen 3. Fotografías obtenidas en la cirugía del 1° caso clínico.

Posteriormente, se solicita resonancia magnética (RM),que informa la presencia de 2 úteros y 2 vaginas, ambos de señal y morfología conservada. Ambos anexos de señal conservada con imágenes foliculares en su interior (Imagen 4).
Imagen 4. Resonancia magnética (1° caso clínico) Corte axial de RM en t2 que evidencia presencia de duplicación uterina.

Se programa un segundo tiempo quirúrgico en el que se realiza introitoplastia con descenso de la pared posterior de vagina hacia afuera para prevenir reflujo de orina. En la cistoscopía, se evidencia uretra hipospádica y meato derecho ectópico en cuello vesical.
En el seguimiento, continúa en tratamiento con oxibutinina, aunque persisten algunos episodios de IO. Presenta menarca espontánea y ciclos regulares. A los 16 años, continúa con controles interdisciplinarios con regular adherencia.
Caso 2
Niña de 9 años prepuberal con antecedente de malformación anorrectal (MAR) tipo cloaca con duplicación mülleriana que consulta a pediatría por presentar sangrado por genitales externos. Se realiza interconsulta a ginecología.
Como antecedentes de importancia, presenta corrección de MAR con colostomía al nacimiento y cierre de la misma a los 3 años. Desde el aspecto renal, presenta enfermedad renal crónica secundaria a hidronefrosis, por lo que requirió exéresis de riñón derecho. Se realizó ampliación vesical y mitrofanoff (conducto desde el abdomen hacia la vejiga para drenar la orina nivel umbilical mediante cateterismo). Dos meses previos a la consulta se realiza cierre de cuello vesical. Presenta incontinencia fecal y urinaria. Recibe oxibutinina, nitrofurantoína, enalapril y laxantes. Se realiza cateterismo por Mitrofanoff. Refiere sangrado por genitales de 10 días de evolución: escaso tipo agua de lavado de carne y dolor en hipogastrio. Niega otros síntomas.
Al examen físico, presenta buen estado general, mamas Tanner 1 bilateral. En posición de decúbito dorsal con piernas en forma de rombo, se evidencia vello pubiano Tanner 1. La vulva no presenta lesiones. Se realiza maniobra de tracción lateral de labios que evidencia orificio único compatible con vagina estenótica de aspecto cicatrizal con orificio de 4 mm aproximadamente y salida de material rosado con maniobra de Valsalva. Previo consentimiento de la niña y su madre, se introduce hisopo con el que se constata origen del sangrado proveniente de vagina. Neoano sin lesiones, no presenta adenopatías inguinales (Imagen 5).
Imagen 5. Fotografía del examen físico (2° caso clínico) Flecha larga correspondiente a introito estenótico. Flecha corta a neoano.

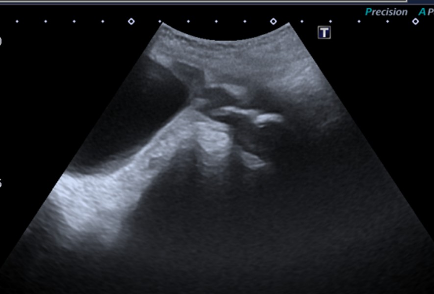
La ecografía ginecológica informa vejiga ampliada de contornos irregulares lateralizada a la derecha. En línea media, en probable topografía de vagina, se observan imágenes ecogénicas calcificadas con sombra acústica. La vagina mide 38 x 23 x 27mm (Imagen 6).
Imagen 6. Estudios complementarios correspondiente a la niña del 2 ° caso clínico.
a) Ecografía que evidencia imágenes hiperecogénicas en topografía vaginal.

b) Estudio contrastado de vejiga que evidencia vejiga en reloj de arena.

Con diagnóstico presuntivo de cálculos en vagina y sangrado secundario a erosión mucosa por los mismos, se deriva a cirugía para extracción de cálculos y ampliación de vagina que se realiza sin complicaciones. Evoluciona favorablemente en el seguimiento a 6 meses.
Discusión
En relación a la fisiopatogenia de la litiasis, se describe que la orina estancada dentro de la vagina facilita las infecciones bacterianas productoras de ureasa (como Klebsiella o Escherichiacoli), de modo que el pH de la vagina se vuelve alcalino. Esto contribuye a la formación de piedras de cristal de trifosfato (estruvita), el componente más común de estos litos conocido hasta la fecha. El estancamiento a largo plazo de la orina en la vagina y las infecciones repetidas, combinadas con una abertura vaginal estrecha, resultan en la acumulación de secreciones uterinas y vaginales, con las sales de calcio en la orina depositándose fácilmente y formando piedras vaginales primarias.1-4
Las patologías o situaciones predisponentes de litiasis descritas en la literatura son múltiples. Para las primarias, las fístulas uretrovaginales son la causa más frecuente. También han reportado obstrucciones o anomalías vaginales de salida como himen imperforado, anomalías genitourinarias congénitas como uréter ectópico, divertículo uretral o hipospadias, hipertrofia de clítoris que ocluye el introito, fusión de labios o antecedente de radioterapia pélvica. Asimismo, las estenosis postquirúrgicas de vagina o periné, las infecciones y/o fístulas vésico-vaginales, la vejiga neurogénica, la extrofia de la vejiga. Se han descrito como otros factores predisponentes la mielodisplasia, la parálisis cerebral u otras condiciones asociadas a incontinencia urinaria y estasis urinaria. 3-7 En algunos casos de acumulación de sangre como en oclusiones vaginales, pueden formarse cálculos hemáticos que contienen triple fosfato y colesterol.6Por otro lado, aquellas situaciones que cursan con hipoestrogenismo, como la infancia o menopausia, sumado a la alcalinización del pH vaginal, pueden favorecer a infecciones por gérmenes urealíticos.6 Otra causa probable es la migración de cálculos vesicales asociados con la ulceración del tabique vesicovaginal o con el depósito de cristales de hemosiderina y células descamadas alrededor de un cuerpo extraño.7
En ambos casos presentados, la causa subyacente fue la persistencia del seno urogenital. En esta anomalía, la orina se estanca en el canal común y predispone infecciones. Asimismo, la presencia de seno urogenital se describe en asociación con otras anomalías incluyendo duplicaciones vaginal y uterina como en el primer caso clínico, por lo que se recomienda siempre su pesquisa.2,8,9
Lapresentación clínica puede ser muy diversa. Es probable que sea asintomática o bien puede provocar signos y síntomas inespecíficos dolor abdominal o pélvico, y por lo tanto suelen pasar desapercibidas durante mucho tiempo. De hecho, la mayoría de los cálculos se descubren incidentalmente, durante investigaciones radiológicas por otras afecciones y a menudo se diagnostican erróneamente como litiasis vesical. 7 En el otro extremo, pueden generar fiebre, flujo o fetidez vaginal, sangrado vaginal, disuria, micción frecuente como signos de infección. Por otra parte, si la piedra vaginal presiona hacia el recto, puede causar sensación de defecar, deformación de las heces y dolor anal al sentarse. La presentación clínica de ambos casos fue diferente. En el primero, fue un hallazgo; en el segundo, consultó por sangrado genital en una niña sin desarrollo de caracteres sexuales secundarios.4
El diagnóstico suele ser sencillo siempre que esta patología sea sospecha. Dado que la litiasis vaginal es un evento raro, la mayoría de los uroginecólogos ni siquiera sospechan su presencia; por lo tanto, el diagnóstico suele ser tardío por lo que pueden alcanzar grandes dimensiones. Elalgoritmo diagnóstico debe basarse en una anamnesis detallada y dirigida con examen genital exhaustivo. Los estudios complementarios deberán ser dirigidos, comenzando por radiografía y/o ecografía pelviana y eventualmente tomografía computada, RM o cistoscopia. En el examen radiológico, la presencia de cálculos vaginales puede confundirse con cálculos en la vejiga. La ecografía puede confirmar el diagnóstico de cálculos y mostrar la ubicación de los mismos y su relación con los órganos pélvicos. Cuando el cálculo es grande y difícil de identificar, es factible realizar una tomografía computarizada o RM. Esta puede mostrar claramente la estructura del endometrio y las capas musculares, así como la posición exacta del cálculo.2,7,8En caso de vejiga neurogénica, los cálculos pueden confundirse con un cuello vesical abierto. Frente al diagnóstico de litiasis vaginal, siempre es esencial descartar la presencia de fístula uretrovaginal.4En ambos casos, el diagnóstico se realizó en base a la sospecha clínica y estudios de baja complejidad (radiografía y ecografía transabdominal).
Para el tratamiento de cálculos vaginales no existen guías disponibles.4Este suele ser quirúrgico e implica su extracción completa. La remoción puede ser dificultosa, máxime en niñas pequeñas.10 Algunos autores sugieren un abordaje transabdominal o transperitoneal con incisiones en la vejiga o abriendo la pared vaginal anterior para preservar la integridad de los órganos genitales y el himen. Sin embargo, otros optan por la extracción vaginal de toda la masa a través de una incisión himeneal. También se ha sugerido litotricia ultrasónica o por ondas de choque intracorpóreas. Los factores que determinan el tipo de abordaje son las medidas del cálculo, la presencia de variaciones anatómicas o condición de la consultante, el equipamiento disponible y la prioridad de preservar la integridad de los órganos genitales. Una complicación posible es la adherencia entre el cálculo y los tejidos circundantes, por lo que la separación deberá ser cautelosa con el fin de evitar daños a los tejidos circundantes (vejiga, recto, etc.). Algunos autores plantean que, previo a la corrección quirúrgica, podría ser de utilidad el uso de estrógenos locales para engrosar el epitelio de la vagina y hacerlo más resistente a la elongación iatrogénica. 1,4,5,8
Con el fin de prevenir recurrencias, la causa asociada debe ser corregida. En algunos casos, la cirugía reconstructiva y la remisión de cálculos puede posponerse hasta la pubertad. En particular, ante una fístula uretro-vaginal o vésico-vaginal, debido al edema severo de los tejidos alrededor del cálculo, no es aconsejable realizar la reparación de la fístula mientras se extrae el cálculo. Esta debe repararse de 3 a 6 meses después de la extracción del cálculo, cuando el edema alrededor de la fístula haya desaparecido.1,8
Consideraciones finales
Estos reportes de casos tienen como objetivo recordar a los profesionales que, aunque la litiasis vaginal es sumamente infrecuente, es crucial considerarla como diagnóstico, conocer su forma de presentación y asociaciones, especialmente en personas con malformaciones genitourinarias congénitas y/o situaciones que cursen con estasis urinaria. Para el diagnóstico, es fundamental la anamnesis, examen de genitales externos y estudios de imágenes. La uretro-vaginoscopiapermite confirmar la patología y realizar el tratamiento. Asimismo, es necesario corregir la etiología subyacente para prevenir las recurrencias. Es fundamental que el abordaje se realice en interdisciplina con ginecólogos/cirujanos/urólogos con experiencia en anomalías del tracto genitourinario.
Bibliografía
- Wei, Dongmei et al. “Vaginal stones caused by urethrovaginal fistula: A case report.” Medicine vol. 98,47 (2019): e18003. doi:10.1097/MD.0000000000018003.
- Xu, Qiong, and Yu Zou. “Primary vaginal calculus in a woman with urogenital sinus anomaly: a case report.” BMC urology vol. 20,1 142. 4 Sep. 2020, doi:10.1186/s12894-020-00708-0.
- Bar-Moshe, O et al. “Vaginal calculi in a young woman.” European urology vol. 37,4 (2000): 505-7. doi:10.1159/000020176.
- Aronson, S Lot et al. “Large primary vaginal stone in a woman with multiple sclerosis.” BMJ case reports vol. 13,10 e235103. 30 Oct. 2020, doi:10.1136/bcr-2020-235103. Consultado 21 de noviembre de 2024. Disponible en: https://pmc.ncbi.nlm.nih.gov/articles/PMC7604787/
- Jaspers, Judith W et al. “Vaginal stones in a 5-year-old girl: a novel approach of removal.” Journal of pediatric and adolescent gynecology vol. 23,1 (2010): e23-5. doi:10.1016/j.jpag.2009.05.006.
- J. García ligero, M. Tomás ros, J. Navas pastor, F. García garcía, A. Semperegutiérrez, J.L. Rico galiano, L.O. Fontana compiano, Litiasis vaginal primaria asociada a fístula uretrovaginal. Presentación de un caso y revisión de la literatura, Actas Urológicas Españolas, Volume 25, Issue 8,2001, Pages 582-585.
- Castellan, Pietro et al. “Primary Vaginal Calculus in a Woman with Disability: Case Report and Literature Review.” Journal of endourology case reports vol. 3,1 182-185. 1 Dec. 2017, doi:10.1089/cren.2017.0100.
- Ranawaka, RavibinduSujeewa et al. “Novel approach to vaginal calculus in a girl with urogenital sinus anomaly.” Journal of pediatric surgery vol. 55,9 (2020): e4-e5. doi:10.1016/j.jpedsurg.2012.07.033.
- Dudhani, Shreyas et al. “Giant Colpolithiasis in Urogenital Sinus Anomaly with Urethral Duplication: A Case Report and Review of Literature.” African journal of paediatric surgery: AJPS vol. 21,1 (2024): 69-72. doi:10.4103/ajps.ajps_89_2
- Jo, JaeYoon et al. “Huge vaginal stone: Case report and review of the literature.” Frontiers in surgery vol. 9 937371. 1 Jul. 2022, doi:10.3389/fsurg.2022.937371.
(¹), (³). Médica ginecóloga certificada en ginecología infanto juvenil. Asistente de la Unidad de Ginecología del Hospital Nacional de Pediatría “Prof. Dr. Juan P Garrahan”.
(²) Médica cirujana pediátrica. Asistente del Servicio de Cirugía General del Hospital Nacional de Pediatría “Prof. Dr. Juan P Garrahan”.
(⁴) Médica ginecóloga certificada en ginecología infanto juvenil. Coordinadora de la Unidad de Ginecología del Hospital Nacional de Pediatría “Prof. Dr. Juan P Garrahan”.
Hospital Nacional de Pediatría “Prof. Dr. Juan P Garrahan”.
Combate de los Pozos 1881. CABA. (54 11) 4122-6000.
